
INSIDER
Majority of Americans Unaware Alcohol Causes Cancer
In Perspective
Focused Stories

Unraveling Peru’s Band of Holes: New Clues to Ancient Mystery

Truly Free: Beyond Laundry for Gut Health & Home

King Kamali on Harnessing Negative Energy in Bodybuilding Success

12% of Americans Tried Ozempic-Like GLP-1 Weight Loss Drugs

Ancient Louisiana Mounds: Spiritual Origins

Easy No-Boil Turkey Macaroni Casserole Recipe
Latest Posts

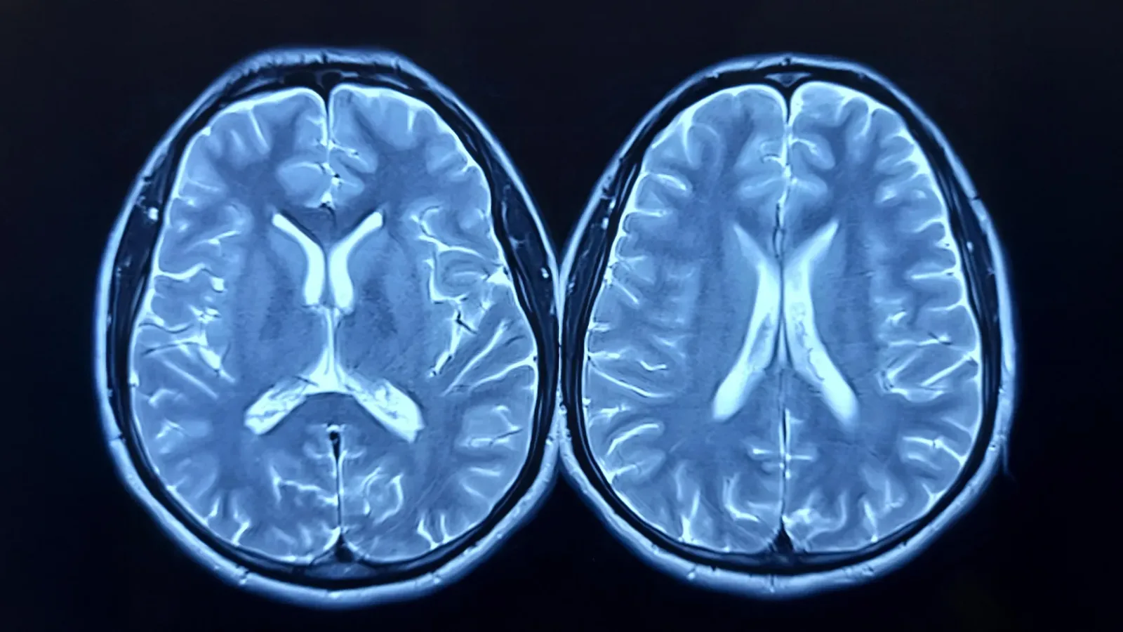
Pandemic Stress Aged Brains Even Without COVID Infection
Recent brain imaging research indicates that the COVID-19 pandemic could have sped up the mental aging process in individuals who never contracted the virus. This comprehensive UK-based investigation demonstrates how the pressures of lockdowns, social isolation, and widespread disruptions might have influenced brain health, particularly affecting older people, males, and those from lower socioeconomic groups. […]

Simple DIY Guide: Clean Makeup Brushes at Home Effectively
Let’s be real: how long has it been since you last gave your makeup brushes a thorough cleaning? If you had to stop and think about it, chances are they’re overdue for some attention. This is one of those essential beauty maintenance tasks that everyone recognizes as important, yet it often gets pushed aside in […]

Petar Klančir’s Landmine Reverse Fly for Superior Rear Delt Development
IFBB Pro bodybuilder, endurance specialist, and renowned training coach Petar Klančir recently shared an impressive exercise technique on Instagram, showcasing a highly effective variation of the bent-over fly designed specifically to drive impressive gains in shoulder development. Through a detailed video directed at his expansive audience exceeding one million followers, this accomplished athlete from Croatia […]

Effective Psychological Strategies for Dental Anxiety Relief
Dental anxiety represents a widespread challenge that impacts a substantial number of individuals globally, frequently preventing them from pursuing essential oral health care. This apprehension towards dental visits often originates from previous unfavorable encounters, fear of discomfort during procedures, or simply the unfamiliar environment of a dental clinic. Contemporary psychological methodologies have emerged as highly […]

Over 40 Measles Cases Surge at Florida University
A Measles Outbreak at a Florida College Sparks Major Concerns An outbreak of measles has struck a private university located in southwest Florida, prompting heightened worries regarding the rapid transmission of this highly contagious virus within close-knit academic environments. Authorities have confirmed more than 40 instances of the disease at Ave Maria University, positioning this […]

Refreshing Blood Orange Margarita Recipe
Discover the Ultimate Blood Orange Margarita Elevate your cocktail game with this invigorating blood orange margarita, a simple yet stunning drink perfect for serving two or preparing in larger quantities for gatherings. This recipe combines the natural sweetness and vibrant ruby hue of fresh blood orange juice with the zesty kick of lime juice, smooth […]

Zach Fowle’s Top Indoor Rowing Workouts for Peak Fitness
Outside of his everyday routine in the suburbs—complete with a marketing career, a loving wife, a young child, and a family pet—Zach Fowle dedicates significant time to his ergometer. The steady, mechanical hum of the machine marks the countless miles he covers annually, all from the comfort of his home basement. At 38 years old, […]

High-Protein Coconut Cream Pie Recipe
Easy High-Protein Coconut Cream Pie This delectable coconut cream pie comes together effortlessly, featuring a luscious filling crafted from coconut milk blended with half and half, crowned by a fluffy whipped cream topping. Pair it with our innovative cottage cheese protein pie crust for a satisfying treat that delivers indulgence alongside a generous protein boost, […]

Unraveling Peru’s Band of Holes: New Clues to Ancient Mystery
Nestled within the Pisco Valley of southern Peru, the enigmatic site known as Monte Sierpe, or the renowned “Band of Holes,” showcases thousands of meticulously aligned circular pits that have long baffled researchers and explorers alike. Recent investigations, integrating sophisticated microbotanical examinations with ultra-detailed drone photography, are shedding groundbreaking light on the construction methods and […]




